Cabinet dentaire du Dr Mondher
SNOUSSI
Chirurgien Dentiste à SAINT MARCELLIN
Accueil
Le cabinet
Plan d'accès
Urgences
Fiches conseils
Contact
Cabinet dentaire du Dr Mondher
SNOUSSI
Chirurgien Dentiste à SAINT MARCELLIN
14 bis avenue Docteur Carrier 38160 SAINT MARCELLIN
+33 4 76 38 21 57
Accueil
Le cabinet
Plan d'accès
Urgences
Fiches conseils
Contact
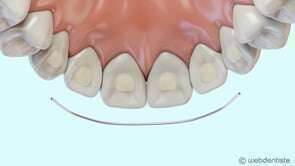
Fil de contention
Vidéos 3D
Partager
Twitter
Partager
Partager
Envoyer
Copier
Cabinet dentaire du Dr Mondher SNOUSSI
14 bis avenue Docteur Carrier
38160
SAINT MARCELLIN
+33 4 76 38 21 57
En savoir plus
Politique de confidentialité et charte cookie
Mentions légales
Conditions Générales Utilisation
Charte déontologique
Ordre national
Annuaires chirurgiens dentistes
Création par
Connexion